在這看臉的年代
	    天生麗質者會有
	    更多靠后天變美
	    為了變得更美麗
	    她拔了八顆牙齒
	    整牙堪比整容哦
	    有圖又有真相啊
	    不信?跟我來吧
	 
  今天我們的【整牙日記系列】主角就是一位有著虎牙的姑娘,她將和我們分享她的整牙日記。
	 (露齒笑的照片少之又少,好不容易扒拉出一張。我的小虎牙清晰可見)
	  姓名:劉*芬
	  年齡:23
	  職業:銀行職員
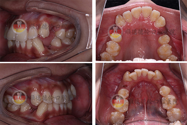
	  牙齒狀況:牙齒外突、擁擠、不整齊
	  矯治方式:隱形矯正
	  就診醫院:順德德倫口腔醫院
	  
  牙齒不齊讓我不自信
  我的牙齒前突,我自己覺得很明顯。每想開懷大笑時都要遮遮掩掩,生怕別人因為我的牙齒不好看,反而笑話我,無形中增加了我的心理負擔;另外,因為牙齒不齊,有些地方很難刷干凈。
	    笑的時候很怕露出牙齒,拍寫真,只好抿著嘴。
	 
  怕做“鋼牙妹”
  我選隱形矯正
  在初中時,看到學姐矯正用傳統的鋼絲進行矯正,“鋼牙妹”反而讓更多的同學笑話她。
  現在參加工作了,自己賺錢了,有了一定的經濟基礎,我選擇做隱形矯正,不容易被發現,也避免了與人交流時的尷尬。
  隱形牙套,我選擇是時代天使隱形矯正,是那種透明可拆裝的牙套,雖然會貴一點,但美好觀方便也更加舒適。我的牙醫就是時代天使認證專家黃景祥醫師哦~~。
	
	我的牙齒是黃景祥主任親診的哦
 
  我的矯正流程
  一、初診
  醫生初步了解我想要解決的問題,還會問我想要達到什么效果,對矯治器有沒要求,給我口腔檢查還用專業的表格(口腔檢查、牙中線、面部檢查、開唇露齒、下頜關節檢查等等),那一瞬間心里踏實多了,覺得醫生對我很負責很詳細,還和我說大概的方案,具體的方案需要取素材才制定出。
	
	初次到德倫口腔,前臺服務好貼心呢
	 
 
  二、設計矯正方案
  于是就開始準備做設計方案的素材,下面是大概的步驟:
  1、拍CT片采集數據
  這里有重點提一下,德倫口腔有三合一的進口設備,只需拍一次就有600多張影像,而且還不用張口,兩分鐘左右就拍完了)
  2、拍正面臉部照,側臉照片
  3、拍口內照
  4、取牙模
  5、一周后出矯正動畫,可預知矯正完的樣子
	
	拍CT片采集數據
	 
 
  三、開始治療
  拔了8顆牙
  看了醫生的方案,也看了矯正的動畫,對矯正后的效果,我是有了足夠的信心。
  在確定我要矯正牙后,首先要進行潔牙,把口腔清潔干凈,然后正式開始矯牙之路。
	
	上下兩排牙齒共拔了8顆牙齒,為了變美我也是拼了(⊙o⊙)
	 
 
  關于拔牙
  我的方案是要拔牙的,說出來估計會嚇到別人,因為我拔了8顆,分三次拔完了,估計很少有人能夠理解,周圍不少朋友說我瘋了,我是想美想瘋了,哈哈哈……
  
開始戴牙戴
  拔完牙后的10天就開始粘附件,附件是樹脂的和牙齒顏色一樣,后面就帶牙套了。
	
	拔牙后的我
	 
 
  四、初戴牙套
  感覺有點酸軟
  帶牙套的兩天左右會感覺有點酸軟,醫生還告訴我酸軟是正常的,不然證明你牙齒沒移位,帶一周后感覺到牙齒有移動,現在開始帶第二幅牙套了,每換一套牙套都滿懷期待,而且朋友們都看不出我帶了牙套,期待矯正后的結果。
	
	第一次戴牙套,有點忐忑呢,不過很方便,自己都能摘戴^_^
	 
 
  現在正在戴第二副牙齒
  不仔細看是不會發現的
  之后,還是建議受牙齒困擾,又想矯正的朋友,鼓足勇氣,做美好的自己。
  未完待遇
  ……
  想看小芬美女摘掉隱形牙套的樣子
  請繼續關注順德德倫口腔醫院
  我們將持續報道
	寒假整牙隱形矯正立減8800元!
	
	